MIchrome 16
MIchrome 16 1600萬彩色USB 3.0顯微相機,具有高分辨率和真實色彩還原能力,非常適合明場成像環境應用,可以幫助用戶在捕獲清晰和高質量的圖像。
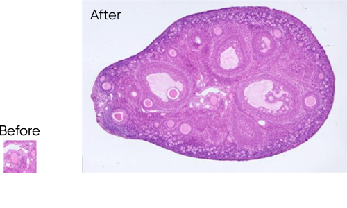
MIchrome 16 搭載鑫圖Mosaic 計算成像計算軟件,為您提供實時圖像拼接高級成像功能,在您移動載物臺的數秒時間內就可以同時生成拼接大圖,輕快、順暢、省心!
MIchrome 16 搭載鑫圖Mosaic 計算成像計算軟件,為您提供實時景深融合功能,在您轉動對焦環拍攝不同景深點的同時即可生成清晰的大景深圖像,快速、準確、高效!
MIchrome 16 具有高達1600萬的成像分辨率,同時集成了1800-10000K自動色溫調節功能,為您的原始圖像提色彩保真度。
請登錄下載此文件。
登錄
2000萬彩色USB 3.0顯微相機

2000萬彩色制冷CMOS顯微相機

4K HDMI+USB 3.0 顯微相機